太阳成tyc7111cc
当前位置: 首页 > 就诊指南 > 常见眼病新闻
白内障专科
2024-01-03 17:42:01
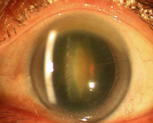
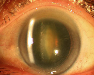
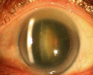
老年性白内障是导致老年眼盲的眼病之一,但是治疗眼睛白内障较好的方法就是晶体植入手术~所以,本期来分享在漳州做白内障手术费用需要多少钱,漳州哪家医院做白内障手术好?
2023-10-11 15:36:39
徐州白内障报销的比例要看选择的晶体,徐州白内障手术的价格,一般在10000-20000元,但具体的价格取决于手术方式,以及各地区不同医院、所在区域,具体的价格可能会有所差异。
2023-04-19 15:00:01
青岛老年白内障手术费用是多少?在青岛老年白内障手术费用大概在2000~20000元左右,属于医保范围,是可以报销的。
2023-01-17 15:50:57
ICL晶体植入主刀医生:燕振国教授 ,教授/研究生导师,是西北ICL晶体植入术、全飞秒激光手术较早开展者,咨询优惠领取联系:y5230201
2021-01-14 09:09:20
白内障手术“超全攻略”、晶体怎么选?看这一篇就够了
2021-01-12 14:33:24
我看到了9个月亮,中国医生一招解决!“洋女婿”患白内障几近失明,在厦门眼科中心手术
2020-12-23 11:58:09
太阳成tyc7111cc学术资讯:第二十届全国白内障及屈光手术学术会议开幕
2020-10-19 14:29:03
三焦点/无极变焦人工晶体,白内障人群该怎么选?
2020-09-26 10:06:24
2020中国医学装备协会眼科专委会年会日程安排

  • 华北地区
  • 华南地区
  • 西南地区
  • 华中地区
  • 华东地区
  • 西北地区
  • 东北地区
太阳成tyc7111cc微信公众号 微信公众号